Cracked tooth repair isn’t always about fixing something painful, but more often about preventing bigger problems. Many patients are surprised to learn that a crack can exist without constant pain or visible damage.
It can silently weaken the tooth’s internal structure and make it more vulnerable to breakage or infection. Catching it early, especially with a gentle and precise approach, helps avoid complex treatment down the road.
Rockford experiences freezing winters and hot, humid summers. That extreme temperature swing can worsen sensitivity and stress weak teeth, especially in older restorations or molars.
With a population of over 145,000 and easy access to community centers like Sinnissippi Park and the Rockford City Market, locals need care that works with their routine.
At Renovo Endodontic Studio, we provide cracked tooth repair in Rockford, IL, with a calm and focused approach that protects your smile without adding to your stress.
When Is Cracked Tooth Repair Necessary?
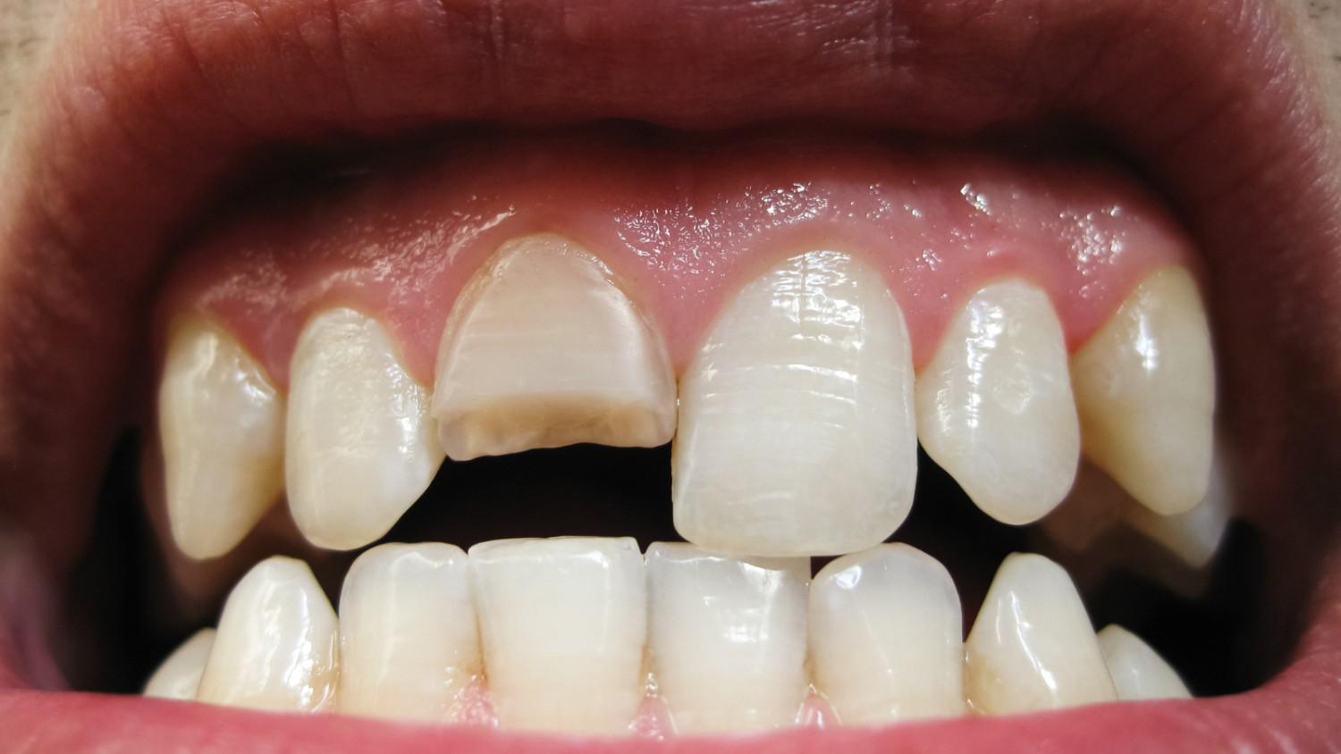
Cracked tooth symptoms don’t always show up with loud warning signs. Sometimes the changes are subtle, like a slight shift when biting, or pain that seems to come and go. Over time, these minor issues can turn into significant problems if left alone.
Recognizing the right time to act is key to protecting your tooth and avoiding future complications.
Some situations where cracked tooth repair may be necessary:
- Sharp pain while chewing. The pressure can make a crack move slightly. That movement causes a quick, sharp reaction.
- Temperature sensitivity. Cold or hot drinks may create sudden discomfort. This often signals exposure of the inner tooth layers.
- Localized gum irritation. Redness or swelling near one tooth can mean bacteria have entered through a crack. Failure to address it may lead to infection.
- Visible damage to the tooth. Even a thin surface line can worsen over time. Structural weakness often follows if it is not treated.
- A tooth feels different when biting down. If your bite feels off or uneven, it may be due to a fracture. That uneven pressure can cause further damage.
Acting quickly often means a simpler fix and a better outcome. Cracked tooth repair works best when started early. Our Rockford team at Renovo Endodontic Studio makes the process for cracked tooth treatment clear, comfortable, and tailored to you.
Our cracked tooth repair services are trusted by many because we understand its nature down to our core.
Renovo’s Trusted Cracked Tooth Repair in Rockford
When it comes to cracked tooth repair in Rockford, patients need more than quick fixes. They need a reliable team that understands how to preserve a tooth’s structure and function.
At our Rockford endodontic practice, we take that responsibility seriously. Our focus is to treat the root of the issue, not just mask the symptoms.
We stand out as a trusted provider of cracked tooth repair in Rockford because we abide by these pillars:
✅ We customize every treatment plan: No two cracks behave the same, so we avoid cookie-cutter approaches. Our team examines your tooth carefully and recommends the most effective path forward. This reduces the need for future re-treatment. Your care is based on factual findings, not assumptions.
✅ We prioritize clear, honest communication: From the first consultation, we explain the process step by step. You’ll know what to expect and how each phase of care supports your recovery. There are no confusing terms or rushed decisions. We take the time to walk through everything with you.
✅ We use precise, high-quality tools: Our office is equipped with imaging and diagnostics that help us identify fractures accurately. This allows us to treat early damage before it becomes severe. Better detection means better outcomes. It’s one more reason patients trust us with advanced care.
✅ We create a calm, supportive experience: Dental concerns can feel overwhelming, but we create an environment that feels relaxed. Our staff keeps appointments running smoothly and answers questions without delay. That consistency helps ease stress. It also builds lasting trust with our patients.
Choosing the right provider can make all the difference in recovery. With a trusted endodontist on your side, you can expect solutions built on precision, not guesswork.
Rockford cracked tooth repair should feel professional and dependable. That’s what we deliver every day.
Gentle and Easy Treatment
Cracked tooth repair in Rockford doesn’t need to feel stressful or complicated. We’ve built a process that keeps things efficient and easy to follow. Our goal is to help you stay comfortable, informed, and confident from start to finish.
Our approach is always gentle and easy because we approach it with a seamless process:
- Simple scheduling and intake. We offer flexible appointment times and an easy intake process. Our staff walks you through everything before your visit. You won’t feel rushed or unprepared.
- Clear step-by-step explanations. We guide you through each phase of care in real time. That includes outlining the procedure and recovery expectations. You always know what’s happening and why.
- Comfort-focused treatment rooms. Our space is designed to reduce anxiety and create a calm setting. We also offer sedation options if needed. The goal is to help you feel at ease every step of the way.
- Fast and thorough follow-up care. Once treatment is complete, we check in with you and schedule follow-ups as needed. If concerns come up, we’re easy to reach. You won’t feel left out after the procedure.
Every part of our process is built with Rockford patients in mind. With that, our cracked tooth repair services remain smooth from the first call to the final check-in. That’s how we do it, and that’s how we always will.
Advanced Technology Powering Cracked Tooth Repair in Rockford
Technology plays a significant role in how we diagnose and treat cracked teeth. That’s why our team invested in tools that allow us to see more, treat more accurately, and deliver better outcomes.
These tools help reduce guesswork, detect signs of a cracked tooth, and give our patients absolute clarity about their condition.
Here are some key technologies we use during cracked tooth repair in Rockford:
- 3D Cone Beam Imaging (CBCT): This allows us to capture detailed, three-dimensional images of your tooth and surrounding structures. We can see cracks that don’t show up in traditional X-rays. It’s beneficial for early detection and precise planning.
- Dental Operating Microscopes: These tools magnify the treatment area, giving us a better view of fine cracks or hairline fractures. They help us treat the problem with greater accuracy and less disruption to the tooth. This leads to more conservative, long-lasting results.
- Digital Intraoral Cameras: These handheld cameras let us show you precisely what we see. We use them to explain treatment options and build trust with transparent visuals. It also helps document progress during and after care.
With these tools, we make our Rockford cracked tooth repair treatments faster and more effective. You won’t have to wonder what’s happening or why. We’ll show you everything for your peace of mind.
Schedule Your Consultation for Cracked Tooth Repair Now!
If you’re dealing with discomfort or unsure whether a crack is causing issues, now is the right time to take action.
Cracked tooth repair in Rockford doesn’t have to be complicated when you work with a team that values clear answers and steady care. We’ll examine the issue, explain your options, and help you make the right decision for your tooth.
Call Renovo Endodontic Studio in Rockford today or schedule your consultation online. Let’s take the first step toward restoring your smile with confidence.


